试题详情
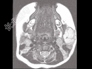
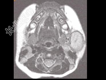
- 单项选择题男,40岁, 左面部渐进性增大的包块,MRI检查如图所示, 最可能的诊断是 ( )

A、左面部毛细血管瘤
B、左面部囊肿
C、左面部脓肿
D、左面部脂肪瘤
E、左面部神经纤维瘤
关注下方微信公众号,搜题查看答案

热门试题
- 右主支气管与气管中线成多少度角 (
- CT机将模拟信号转换成数字信号的器件是A
- IVDSA的缺点不包括A、造影剂到达兴趣
- MR图像通常是指A、1H图像B、2H图像
- CT表现为极低密度,MIR T1、T2表
- 患者男,64岁,胸部隐痛伴眼睑下垂2个月
- 男性,22岁,发现右颈部肿物5年,逐渐增
- DSA成像的叙述,错误的是A、DSA--
- 关于MRI,叙述正确的是A、对白质病变的
- Gd-DTPA的应用中,下列说法哪项是错
- 在胎儿头部中线位置发现一囊性包块,应进行
- 以下关于眼眶骨折的描述,正确的是A、眼部
- CT与常规X线体层摄片比较,最主要的不同
- 鼻窦黏液囊肿A、多发生于上颌窦B、单侧多
- 在胸部正位取后前立位摄片的原因中,下列哪
- 关于肘关节侧位标准影像,叙述正确的是A、
- 男,45岁,颈部渐进性增大包块,CT增强
- 原发性肝癌定位诊断下列哪项最准确A、X线
- 关于CT定位扫描的叙述。错误的是 (
- 女,8岁, 头痛,鼻塞半年余, CT如图