试题详情
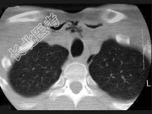
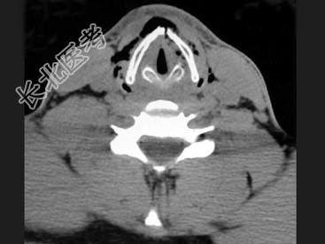
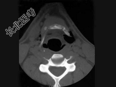
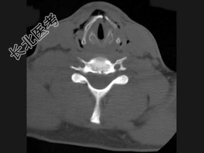
- 多项选择题男,27岁, 开车外出在高速行驶时翻车,呼吸困难, 喉部肿胀,CT检查如图所示, 正确的描述或诊断是 ( )

A、左侧甲状软骨骨折
B、左侧梨状窝软组织肿胀
C、颈部、胸骨下方软组织积气
D、左侧杓状软骨骨折
E、考虑喉、气管破裂
关注下方微信公众号,搜题查看答案

热门试题
- 关于跟骨侧位叙述错误的是A、跟骨纹理显示
- 下列属生理排泄法造影检查是 (
- 脊柱摄片时体表定位标记,哪一种不妥
- 与增感屏降低影像清晰度原因无关的是A、荧
- 男,25岁,右腰部疼痛伴血尿,有外伤史,
- 骶骨前后位,中心线应 ( )A、
- 动脉DSA血管穿刺最常用的部位是 (
- 下面能用于DSA检查的情况是A、碘过敏B
- 乳腺纤维腺瘤的CT表现中,下列哪项描述错
- 在CT检测时,由检测部门定期进行的措施称
- CT图像中心环状伪影产生的常见原因是(
- 磁性原子核需要符合的条件是A、中子和质子
- 标准后前位立位胸片,焦片距应为 (
- CT检查应用血管内含碘对比剂时,最重要的
- 男,65岁咳嗽、痰中带血丝3个月。近来出
- 1、可选用哪些影像学检查2、患者做MRI
- 头颅侧位片,下列正常蝶鞍形态中, 哪项不
- 构成肺门阴影的最主要结构是 (
- 颅脑灌注CT的一般扫描基线平行于A、EM
- 关于X线装置的说法,下列哪项不正确的