试题详情
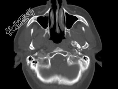
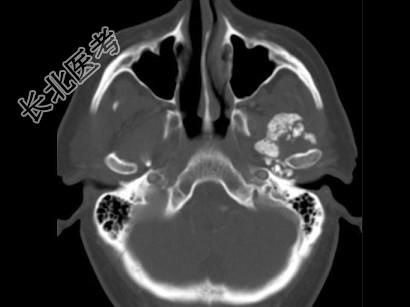
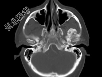
- 多项选择题男,60岁, 张口受限半年,CT检查如图所示, 正确的描述或诊断是 ( )

A、左侧颞颌关节周围软组织内见较多致密钙化影
B、左侧颞颌关节软组织未见肿胀
C、左侧颞颌关节面(颞骨面)骨质增生明显
D、左侧颞颌关节滑膜骨软骨瘤病
E、颞颌关节功能紊乱
关注下方微信公众号,搜题查看答案

热门试题
- 下列哪些疾病可引起视神经孔增大 (
- 男,15岁,反复鼻衄1年。CT示翼腭窝软
- 颈椎俯卧斜位摄影,中心线应A、向足侧倾斜
- 男,49岁,舌根疼痛肿胀1个月余,CT检
- 厚壁空洞的洞壁厚度往往超过 (
- 注入对比剂后的CT扫描,正确的名称是
- 女,61岁, 左眼不适逐渐外突,视力异常
- 患者,女性, 27岁,发现右乳单发肿块1
- 胆囊癌的特点包括A、胆囊壁呈局限性或弥漫
- 慢性胆囊炎的CT特征表现是A、胆囊大,囊
- 成人腹部摄片使用滤线器的理由是 (
- 以下哪项是心脏MRI扫描时最基本的心脏切
- 关于牙科X线机的说法错误的是A、牙科X线
- 肋软骨首先钙化的是下列哪项 (
- 磁化传递技术主要应用不包括A、MR血管成
- 指出下列摄片技术中,不正确的是 (
- 关于胸部正位的摄片目的,哪项是错误的
- 头颅摄影要求屏,片体系感度为400,此项
- 骨肉瘤的X线表现有A、溶骨性破坏B、瘤骨
- 关于增感屏的结构叙述错误的是A、包括基层