试题详情
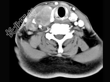
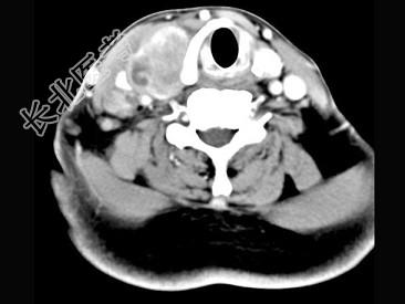
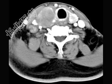
- 多项选择题女,54岁, 右侧颈部肿大近1年,近来病人有声嘶、吞咽困难, CT扫描如图,正确的描述或诊断是 ( )

A、右侧甲状腺肿大,密度减低
B、增强扫描示甲状腺呈不规则强化团块影,其内有低密度区,病灶境界不清
C、右侧颈内静脉增粗,其内可见不规则充盈缺损区
D、甲状腺癌
E、右侧颈内静脉瘤栓形成
关注下方微信公众号,搜题查看答案

热门试题
- 头颅MRI检查出现长T
- 下列会引起肾盏肾盂破坏的疾病为 (
- 关于矩阵,叙述错误的是A、矩阵影像图像空
- 下列哪项不是影响重建组图像质量的因素
- 关于阴性对比剂的特点,叙述错误的是A、密
- 下列哪项不适应DSA检查 ( )
- 关于影像板的说法错误的是A、影像板形成的
- 关于CT机房的设计与布局的叙述,错误的是
- 红外激光片(IR型)的吸收光谱峰值为A、
- 大多数前列腺癌发生在A、中央带B、周围带
- 胸部CT图像显示所见经过肺尖的6条大血管
- 女,34岁, 左耳鸣,听力下降两个月,
- 与CT诊断定性无关的因素是A、病人的体型
- 干式激光胶片保存注意事项包括A、24℃以
- 肝脏超声检查的叙述,错误的是A、一般需要
- 额窦可显示于下列哪些体位片A、瓦氏位B、
- 胸膜间皮瘤的影像学表现不包括A、胸膜增厚
- 不易在冠状位CT上显示的颌面骨骨折是A、
- 下述疾病对骨化中心的出现及愈合均具有促进
- 超声成像的叙述,错误的是A、层面图像B、