试题详情
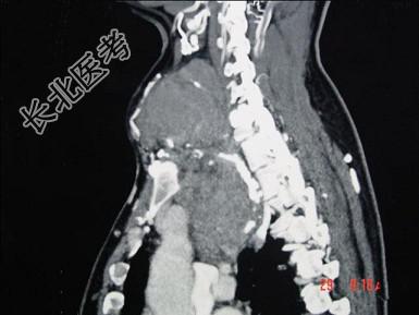
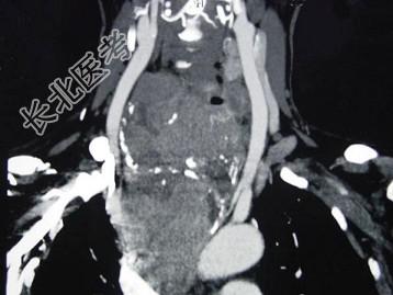
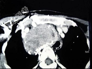
- 多项选择题女,48岁, 颈部包块3年,近来胸闷、憋气、胸痛, CT扫描如图,正确的描述或诊断是 ( )

A、胸骨后甲状腺肿
B、血管瘤
C、双侧甲状腺肿大
D、胸骨后甲状腺肿是指甲状腺50%位于胸骨后
E、胸骨后甲状腺肿是指甲状腺60%位于胸骨后
关注下方微信公众号,搜题查看答案

热门试题
- 右心房增大常见于 ( )A、右
- X线平片上可见部分骨小梁与压力方向一致,
- 深吸气后屏气,常用于的摄片部位是 (
- 髓内室管膜瘤CT扫描下述诸征象的描述,错
- 下列选项中,对垂体性、肾上腺性的鉴别“C
- 男,15岁, 渐进性鼻塞1年余,MRI扫
- CT计算机中的核心部件是A、中央处理器B
- CT扫描装置中,探测器的作用是A、探测X
- 关于几何学模糊,叙述错误的是A、焦点尺寸
- 关于正常肺部CT的解剖结构,叙述错误的是
- 颈内动脉海绵窦瘘行介入治疗的禁忌证为A、
- DSA双能减影时,后一帧图像比前一帧图像
- 锁骨正位片:锁骨显示为∽形弯曲为 (
- 1、提高CT空间分辨力的方法不包括2、关
- 男,44岁, 车祸伤及左侧眉弓和头部,半
- DICOM对于医学图像的支持范围不止放射
- 下列组合中,哪项不对 ( )A、
- 鞍区CT扫描技术的叙述正确的是A、横断位
- CT显示椎管狭窄呈三叶草样变形的主要原因
- 关于泌尿系统影像解剖的描述,正确的是A、