试题详情
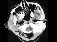
- 单项选择题女,19岁, 右侧面颊部肿胀1年,CT检查如图所示, 最可能的诊断是 ( )

A、右颊部神经纤维瘤
B、右颊部血管瘤
C、右颊部脂肪瘤
D、右颊部横纹肌肉瘤
E、右颊部血肿
关注下方微信公众号,搜题查看答案

热门试题
- 正常头颅CT轴位鞍上池呈A、圆形或椭圆形
- 以下何种病变含有在MRIT
- 造釉细胞瘤的MRI信号特点为A、T
- 下列哪些是弹簧圈类栓塞物质 (
- 乳腺腺体的CT值为A、-30~-50HU
- 磁共振分子探针类型有A、顺磁性探针B、超
- 灯丝发射电子特性曲线是A、一定管电流下B
- 观察外耳道闭锁的最佳摄片体位是 (
- 下列哪项不符合Ⅱ级星形细胞瘤与胶质母细胞
- 关于口咽部疾病MRI,叙述正确的是A、扫
- MR水成像具有的优点不包括A、为无创性技
- 以最低辐射剂量,获最高像质,为诊断提供可
- 下列哪项叙述不符合结核性脑膜炎的CT表现
- 肝穿刺活检的导向手段主要为 (
- 鞍区CT扫描后处理技术不包括A、根据不同
- 所谓近距离摄影,是指焦-片距为A、15~
- 下列关于各孔道与穿行结构关系正确的是A、
- 飞跃时间法(TOF)MRA成像利用A、饱
- 高分辨率CT扫描的特点是A、图像显示相对
- 1、该检查方法最可能是2、进一步检查的影