试题详情
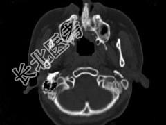
- 单项选择题男,14岁, 脓涕,头痛, CT检查如图,最可能的诊断是 ( )

A、右上颌窦炎
B、腭裂,右上颌窦炎
C、颅面骨发育不良
D、上颌骨骨结核合并瘘道形成
E、上颌骨骨脓肿并瘘道形成
关注下方微信公众号,搜题查看答案

热门试题
- MRI头颅病变表现为短T
- 眶距过宽,常见于下列哪些疾病 (
- X线管管套的功能不包括A、射线防护B、防
- 关于扫描参数接收带宽,叙述正确的是A、接
- 鼻咽癌的MRI表现有A、T1WI呈等或略
- 可引起眶窝小的疾病有 ( )
- 关于常规胸椎侧位摄影的叙述,错误的是A、
- 细小玻璃碎片进入眼内,该异物属于A、不透
- 关于准直器的作用,错误的是A、显示照射野
- 目前____是唯一一种能无创探测活体组织
- CT基本设备不包括A、扫描架、扫描床和X
- 腹腔动脉通常分为A、胃左动脉B、脾动脉C
- 患者,男,29岁。头部外伤,CT示右颞叶
- 成人视神经孔的孔径大约为 ( )
- 男,56岁, 腹部包块伴高血压,CT扫描
- 关于X线强度的叙述,错误的是A、X线强度
- 改善DSA图像质量措施不包括A、减少运动
- “改良Seldinger穿刺法”指
- 属于无机碘对比剂的是A、碘化钠B、硫酸钡
- DSA成像系统中不包括A、X线机B、网络