试题详情
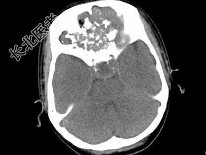
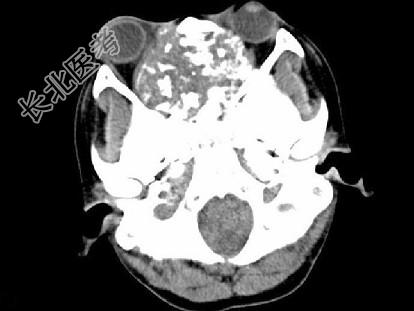
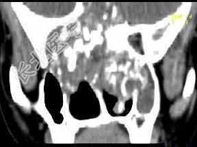
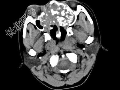
- 单项选择题男,26岁, 进行性鼻腔阻塞、流涕来院就诊,近两年持续性头痛、头晕, 筛窦区病变影像检查如图,最可能的诊断是 ( )




A、脊索瘤伴左上颌窦炎
B、软骨瘤伴左上颌窦炎
C、骨化性纤维瘤伴左上颌窦炎
D、骨结核伴左上颌窦炎
E、骨纤维异常增殖症伴左上颌窦炎
关注下方微信公众号,搜题查看答案

热门试题
- 在体层摄影过程中,保持位置不动的是A、连
- 关于DSA成像的基本原理,哪项描述不正确
- 颌顶位又称为 ( )A、顶颌位B
- 对CT空间分辨率无影响的因素是A、扇形射
- 病人体内高密度的结构或异物形成的CT伪影
- 当窗宽为250,窗位为50时,其CT值显
- 男,17岁,右侧颈部包块10余年,近1年
- 关于电子对效应的发生概率,叙述正确的是A
- 肝脏的脏面有“H”状结构,构成其横沟的是
- 下列组合,错误的是A、髌骨骨折-侧位及轴
- 属非离子型对比剂的是A、碘化钠B、碘番酸
- 双乳剂X线胶片结构中,不包括 (
- 男性,40岁,左侧耳下肿胀疼痛1个半月,
- 以下脑血管病变哪些是MRI扫描可确诊的
- 女,40岁, 口腔内长一肿块约9个月,逐
- 关于CT机房的防尘,叙述正确的是A、封闭
- 腕部尺偏位,主要用于检查的是下列哪项
- 下列宜进行静脉尿路造影检查的是A、碘过敏
- 慢性化脓性鼻窦炎CT的特征表现为A、鼻甲
- 对上肢生理功能的叙述,错误的是A、骨形态