试题详情
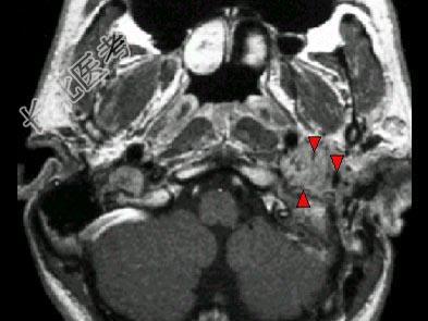
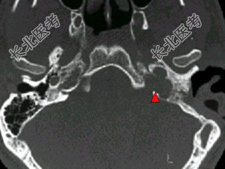
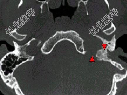
- 单项选择题男,45岁, 左侧搏动性耳鸣半年,耳镜检查透过鼓膜后下部见半膨隆紫红色肿物, CT如图,最可能的诊断是 ( )

A、中耳癌
B、血管瘤
C、肉芽肿
D、胆脂瘤
E、颈静脉球瘤
关注下方微信公众号,搜题查看答案

热门试题
- DR摄影和CR摄影相比,不同点为A、都为
- 根据病变显示的需要,操作规程者可以修改的
- 男,43岁,右胸背痛13天,ESR:15
- 对影像增强器电子透镜的解释错误的是:A、
- 在常规后前位胸片上不能完全显示影像的左肺
- 声门上型癌的X线表现包括A、会厌和杓会厌
- 1、为进一步了解眼外伤情况行眼及眼眶CT
- 胰腺的动脉供血血管是A、肠系膜上动脉B、
- 关于鼻与鼻窦CT扫描技术,叙述错误的是A
- X线量正比于A、管电压值B、曝光时间C、
- 图像显示技术中,应用最多而且最重要的技术
- 属于阴性对比剂的是A、硫酸钡B、碘化钠C
- 在显影液补充量的变动因素中,叙述错误的是
- 患者,男, 51岁。右肾区不适4个月余,
- 新生儿有几个囟门 ( )A、4个
- 关于永磁型磁体,叙述错误的是A、运行维护
- 急性乳腺炎脓肿形成时,下列哪一项治疗最为
- 我国规定X线机的接地电阻应小于A、12Ω
- 颅骨骨髓瘤的典型X线表现为A、溶骨性骨质
- 1、临床增强CT不能确诊肿瘤强化程度时,