试题详情
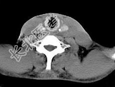
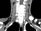
- 单项选择题男,46岁, 外伤后左下颈搏动性肿块,CT如图所示, 最可能的诊断是 ( )

A、左颈部血管瘤
B、左颈动脉体瘤
C、左颈静脉球瘤
D、左颈总动脉假性动脉瘤
E、左颈部动静脉畸形
关注下方微信公众号,搜题查看答案

热门试题
- 影像增强管输入屏有效直径是20.32cm
- 下列哪项不属于中耳结构A、听小骨B、咽鼓
- 经颈静脉肝内门腔静脉分流术的术前准备有
- 与体层面厚度无关的因素是A、照射角B、层
- 视神经管位(Rhees’s)摄片,正确的
- DSA成像系统中不包括A、X线机B、网络
- 关于第1、2颈椎前后张口位体位描述正确的
- 临床疑支气管扩张,首选检查A、CT平扫B
- 1、需要输出彩色胶片最优的选择为2、需要
- 男,54岁,B超体检示肝左叶强回声团块影
- 区域体层,系指照射角应小于A、5°B、1
- 鼻咽癌在PFB方案行上颌动脉化疗灌注的基
- 上颔窦癌向后侵犯,使 ( )A、
- 患者,女, 77岁。血尿20天。CT检查
- 直接热敏成像打印机的结构组成有A、数据传
- 下面对腹部CT扫描技术的描述错误的是A、
- 以下哪一项膀胱结石影像学表现是错误的A、
- 关于肺病灶正位体层摄影的说法,错误的是A
- X线管阴极的作用是A、发射电子并聚焦B、
- 耳部CT常用的扫描体位是A、横断面、矢状