试题详情
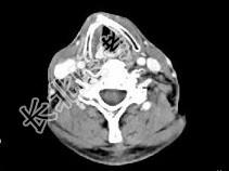
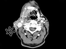
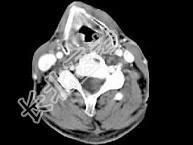
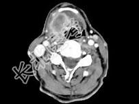
- 单项选择题男,63岁, 咽喉部不适约1年,近两个月经常咳嗽, 痰中带有血丝,CT如图所示, 最可能的诊断是 ( )

A、梨状窝癌
B、声门型喉癌
C、声门下型喉癌
D、声门上型喉癌
E、混合型喉癌
关注下方微信公众号,搜题查看答案

热门试题
- 下列选项中,“二快一慢”肝脏增强技术的是
- 属于X线诊断专用装置的是A、立位滤线器B
- 关于磁场均匀性,叙述正确的是A、磁场均匀
- 以下哪种疾病在头颅MRI检查中出现短T<
- CT平扫图像上,与脑实质相比髓母细胞瘤多
- 所谓近距离摄影,是指焦-片距为A、15~
- 集中打印系统的设计和开发基于的标准为A、
- 关于连续X线光子能量,叙述正确的是A、X
- 上部胸椎侧位摄片,下述方法哪项错误
- 慢性胆囊炎的CT特征表现是A、胆囊大,囊
- 磁共振对比剂根据组织特异性分类中错误的是
- 影响锐利度的因素的叙述,正确的是 (
- 颈内静脉二腹肌淋巴结属于 ( )
- 醛固酮腺瘤患者的临床表现包括A、高血压B
- 第一斜位又称为A、右后斜位B、左后斜位C
- 关于喉囊肿CT表现,下列说法哪项不对
- 显示颈椎椎间孔的最佳摄影体位是 (
- 多排螺旋CT的特点不包括A、扫描速度快B
- 不适于颅脑CT扫描方法的是A、扫描基线取
- 与MQ型显影液相比,PQ型的性能优点不包