试题详情
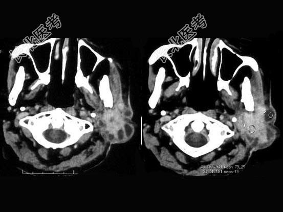
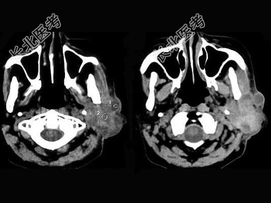
- 单项选择题女,55岁, 鼻咽癌放疗15年,近1周左耳根部肿胀, 无发热,PE: 左耳根部皮下扪及三个结节,有波动感和轻压痛, CT如图所示,最可能的诊断是 ( )

A、左腮腺腺瘤
B、左腮腺混合瘤
C、左腮腺腺淋巴瘤
D、左腮腺恶性混合瘤
E、左腮腺蜂窝织炎
关注下方微信公众号,搜题查看答案

热门试题
- 滑膜关节在X线片上可见 ( )
- 胶片对比度的叙述,错误的是A、胶片对射线
- 某部位80kVp,40mAs, FFD=
- 升主动脉造影,主动脉弓、颈动脉及椎动脉分
- 关于X线的发生,下列哪项不对 (
- 为给“骨肉瘤”局部分期,应首选以下哪种检
- 保证胸部摄影质量,下列最佳匹配是A、低k
- 3D-PC-MRA的优点不包括A、仅血流
- 头颅后前位摄影,垂直于床面的头颅定位线是
- 不属于弛豫术语范畴的是 ( )A
- 正常前庭导水管的宽度小于A、3mmB、4
- 下述哪项结构在增强扫描时最迟强化 (
- 患者,男,57岁,有冠心病史。突感胸背部
- 关于MRI心功能分析,叙述正确的是A、需
- 成人视神经孔的孔径大约为 ( )
- 关于膈肌的叙述,哪项是不正确的 (
- 关于CT,下列说法错误的是A、断层显示解
- 关于缩短顺磁性对比剂弛豫时间的因素,叙述
- 下列哪一项不是MRI检查的禁忌证A、置有
- 由强至弱排列,SE序列T2加权中, 信号