试题详情
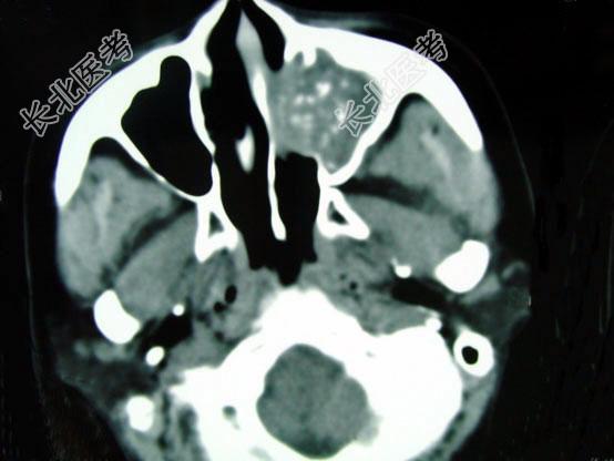
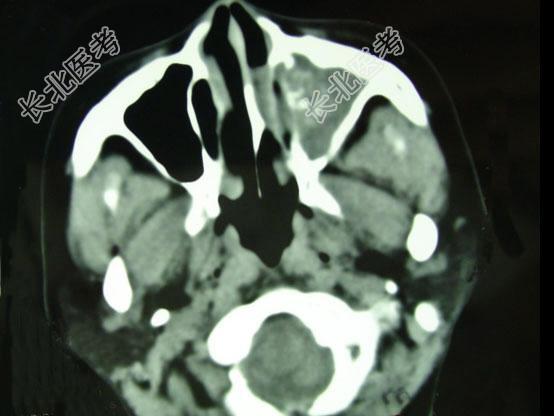
- 单项选择题男,41岁, 左侧鼻腔胀痛半年余,CT检查如图, 最可能的诊断是 ( )

A、出血坏死性息肉
B、化脓性鼻窦炎
C、过敏性鼻窦炎
D、真菌性鼻窦炎
E、上颌窦癌
关注下方微信公众号,搜题查看答案

热门试题
- 属于生理排泄的对比剂引入途径是A、口服胆
- 表示踝关节侧位体位标准的标志是A、胫腓骨
- 下述不是鼻咽癌放疗后CT表现的是A、鼻咽
- 转移瘤CT表现,下列哪项是错误的A、多发
- CNR提示A、对比度B、图像均匀度C、信
- 关于废片分析的组合,错误的是A、废片率—
- 常见的喷墨技术包括A、气泡喷墨技术B、压
- 下列造影技术中,哪些不属于MR水成像范畴
- 以下关于乳腺癌内分泌治疗的说法哪些是不正
- 与扫描定位精度有关的是A、X线束的准直校
- 关于平面回波成像EPI序列,叙述错误的是
- 以下有关肾梗死CT表现哪一项是正确的A、
- 曲面体层常用于检查A、颧骨B、筛骨C、颌
- DSA成像中体位设计对影像质量的影响因素
- 对眼眶CT扫描图像显示的描述,错误的是
- 腮腺良性肿瘤中以哪种最多见 (
- MRA是指A、磁共振波谱成像B、磁共振血
- 颅内高压的X线表现是A、颅缝分离B、颅板
- 水平投照指的是 ( )A、中心线
- 1、腹部MR扫描时,控制受检者呼吸运动伪