试题详情
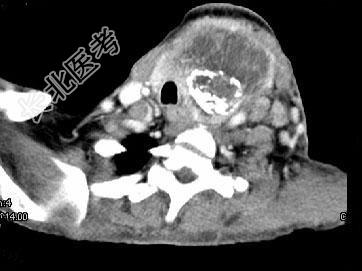
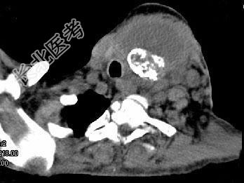
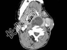
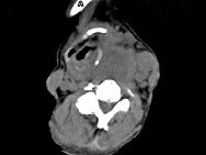
- 单项选择题女,64岁, 发现双甲状腺肿大1个月余,CT如图所示, 最可能的诊断是 ( )

A、结节性甲状腺肿
B、甲状腺腺瘤
C、甲状腺癌并淋巴结转移
D、甲状腺转移瘤
E、甲状腺结核
关注下方微信公众号,搜题查看答案

热门试题
- 女性,28岁。2个月前发现右颈有一肿块,
- 男,52岁,乏力、胸闷、体重下降3个月。
- 1、为进一步检查血管情况需进行的检查是2
- 放射状伪影多见于 ( )A、病人
- 有关视网膜母细胞瘤叙述正确的有 (
- 腹部CT扫描受检者的准备工作中,与图像的
- 关于鼻和鼻咽部CT扫描叙述,错误的是A、
- CT水平断面在侧脑室前角外侧是A、尾状核
- 诊断室壁瘤最主要的X线征象是A、左室缘局
- 鼻窦的恶性肿瘤中,最可能的诊断是
- 1、这台设备需要与医院的哪些信息系统按照
- 截断伪影可以通过下述方法抑制 (
- 退行性骨关节病的X线表现描述不正确的是A
- 外伤性颈内动脉海绵窦瘘介入治疗常用的栓塞
- 1、为明确血管的闭塞程度应行的检查是2、
- 成人,男, 右眼外伤后视物不清,CT扫描
- 下述哪项只有一个骨骺 ( )A
- 下列组织中与骨代谢关系最密切的是哪项
- 男,5岁, 反复呛咳,张口呼吸, 有鼾声
- 每日开机进行CT球管校准的目的在于