试题详情
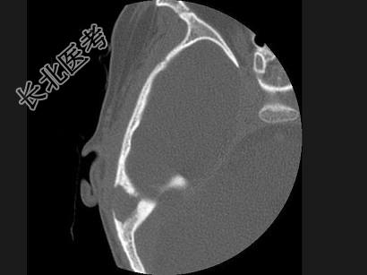
- 单项选择题女,17岁, 右耳乳突区隐痛,右耳后乳突区出现包块, 逐渐增大,CT检查如图, 最可能的诊断是 ( )

A、胆脂瘤
B、化脓性中耳炎
C、嗜酸性肉芽肿
D、中耳癌
E、听神经瘤
关注下方微信公众号,搜题查看答案

热门试题
- X线摄影中,使胶片产生灰雾的主要原因是A
- 有关胆道T形管造影,下列错误的是A、30
- X线穿过人体后,强度分布出现差异,称为A
- 下列组合中,哪项不妥 ( )A、
- 患者男,67岁,胸痛、咯血、体重下降,结
- 关于扩散张量成像(DTI),叙述错误的是
- 甲状腺癌晚期,诊断价值最高的检查方法
- 鼻窦CT扫描常用A、听鼻线B、听眶线C、
- 设备伪影不可能由下面哪种因素引起A、机器
- 男性,39岁, "癫痫"发作2次,无发热
- 成人颅内压增高时,蝶鞍的骨质吸收最早发生
- 与选择性冠状动脉造影技术无关的是A、选用
- PTC穿刺点通常位于 ( )A、
- 1、为进一步了解眼外伤情况行眼及眼眶CT
- 下列哪项属于椎骨恶性骨质破坏者 (
- 减轻或消除CT图像部分容积效应,可采用:
- 下列对于鼻咽癌的CT表现,哪项描述错误
- 造釉细胞瘤的MRI信号特点为A、T
- 将人体左右等分的线称为A、矢状线B、正中
- 男性盆腔CT检查,能观察的是A、生殖器肿