试题详情
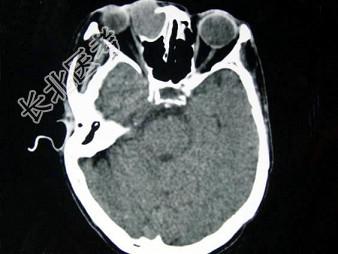
- 单项选择题女,40岁, 右眼反复溢泪伴眼球渐进性突出2年余,眼球运动受限, CT检查如图所示,最可能的诊断是 ( )

A、泪腺囊肿
B、泪囊囊肿
C、泪腺血肿
D、泪囊血肿
E、眶内结核
关注下方微信公众号,搜题查看答案

热门试题
- 用“离子型造影剂”做血管造影时,一次用量
- 核磁共振的物理现象是哪年发现的 (
- 哪些患者行“椎间盘切吸术”后,疗效不好
- CT成像过程中需要测量体素的A、质量B、
- CT显示颈前三角区囊性占位,可见钙化,囊
- 肝腺瘤与FNH的共同CT特征是A、增强扫
- 左、右心衰的共同X线表现是A、上腔静脉影
- CT示咽旁间隙向外移位,提示占位病变来源
- 2D-PC-MRA的特点不包括A、仅血流
- 下列疾病中,适用深呼气曝光的是 (
- 主动脉夹层的CT征象包括A、内膜钙化内移
- 关于体素,叙述正确的是A、体素代表一定厚
- 梯度系统不包括的硬件是A、梯度线圈 B、
- 关于MRI心功能分析,叙述正确的是A、需
- 200mA型X线机可选择的最大管电流是A
- 大剂量静脉尿路造影的禁忌证不包括A、严重
- 游离性胸腔积液X线表现描述错误的是A、患
- 女性,22岁, 小腿疼痛2个月。X线片和
- 患者,女, 34岁,自幼左侧乳头内陷,
- CT检查,病人自己准备工作的主要依据是A