试题详情
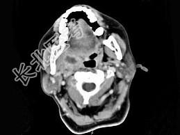
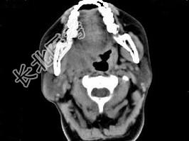
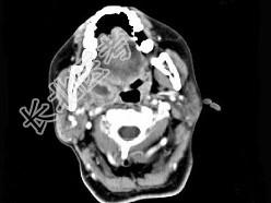
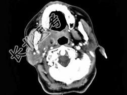
- 单项选择题女,52岁, 咽喉部疼痛半个月,伴低热, CT如图所示,最可能的诊断是 ( )

A、咽旁脓肿
B、咽部神经鞘瘤
C、鼻咽纤维血管瘤
D、咽旁淋巴瘤
E、咽旁转移瘤
关注下方微信公众号,搜题查看答案

热门试题
- 肺动脉高压和肺静脉高压可同时存在的疾病是
- 以下选项中,可显示胰头造影的是 (
- 腹部仰卧前后位摄片应用最多的是检查
- "眼窝变小"见于下列哪种情况 (
- DSA采集时机及帧率选择原则,正确的是A
- 图像失真度的概念,正确的是 (
- 与CT图像显示上下位置偏移有关的操作是A
- CT数据采集系统的作用之一是A、将接收到
- 腹部前后位片不能够观察A、泌尿系结石B、
- 最早应用于CT检查的部位是A、胸部B、四
- 拟诊上颌窦癌并骨质侵犯的患者应首选的摄影
- 有关子宫输卵管造影的叙述,错误的是A、对
- 不能增加图像信息的是A、增加mA B、延
- 螺旋CT扫描又可称为A、动态扫描B、容积
- 下述各项均能在食管上直接形成压迹,但除外
- 女,30岁, 闭经,溢乳1年。CT检查技
- 属于物理学评价的指标是A、肺尖充分显示B
- 肾结石的特征性形状是A、分层状B、桑葚状
- 患者50岁,男,右侧胸痛、咳嗽、咯血3个
- 男性,6岁。发热、面色苍白、牙龈出血2个