试题详情
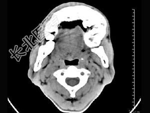
- 单项选择题女,23岁, 左颌部疼痛肿胀一年余,近来加重, CT表现如图,最可能的诊断是 ( )

A、造釉细胞瘤
B、混合性牙瘤
C、中央性颌骨癌
D、颌骨血管瘤
E、牙龈癌
关注下方微信公众号,搜题查看答案

热门试题
- 下列"管状骨结核"影像特点中,哪项不正确
- 应用Gd-DTPA增强扫描常用序列是A、
- 肾脓肿的CT表现为A、圆形或卵圆形境界清
- 新型DSA设备X线管具有的特点是A、容量
- 下列引起局限性颅骨增生的疾病有 (
- 肺血流受下述哪些因素影响 (
- 汤氏位摄片,中心线向足倾斜25°~30°
- 下述各项均能在食管上直接形成压迹,但除外
- 神经鞘瘤的典型CT表现为A、圆形实质性肿
- 关于ROC曲线的叙述,以下哪项是错误的
- 患者,男,63岁,排尿困难1个月余,加重
- PACS的发展会趋向于移动化的原因错误的
- 病人体内高密度的结构或异物形成的CT伪影
- 以下哪项不是眼内炎性假瘤的CT表现
- 常规CT扫描层厚的确定是通过改变X线束的
- MR图像质量指标不包括A、噪声B、信噪比
- X线管内电子轰击的面积称A、小焦点B、大
- 关于急性肾盂肾炎的影像学检查,下列哪些说
- 顺铂-乙基纤维其微粒的直径为 (
- X线摄影方向不包括A、前后方向B、上下方