试题详情
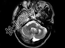
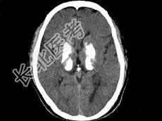
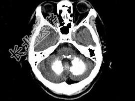
单项选择题男,49岁, 反复发作性癫痫,双手震颤5年, 伴头昏行走不稳,生化检查: 血清钙降低,血清磷升高, 根据所提供图像,最可能的诊断是 ( )

A、Fahr病

B、一氧化碳中毒性脑病

C、霉变甘蔗中毒

D、肝豆状核变性

E、甲旁低

  • 关注下方微信公众号,搜题查看答案

热门试题