试题详情
- [材料题] 患者男性,75岁,无明显诱因出现咳嗽伴间断胸痛3周,无发热,体格检查右侧呼吸音略低。实验室检查:血常规、肝肾功能和凝血功能在正常范围。既往史:高血压、糖尿病史10年,半年前因心肌梗死,急诊行冠状动脉造影,发现左前降支明显狭窄,行支架置入治疗,术后常规口服阿司匹林和硫酸氢氯吡格雷(波立维)治疗,日常活动尚可。
- 多项选择题1.对本患者的常规检查应包括( )
A、全身PET
B、心电图
C、超声心动图
D、头颅MRI
E、冠状动脉CTA
F、胸部X线平片
G、胸部CT
关注下方微信公众号,搜题查看答案

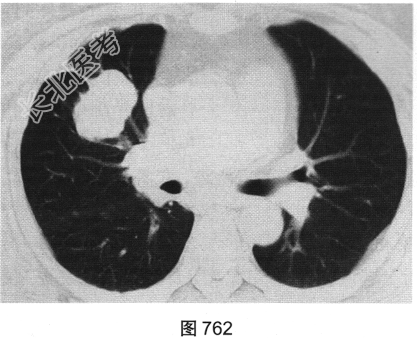
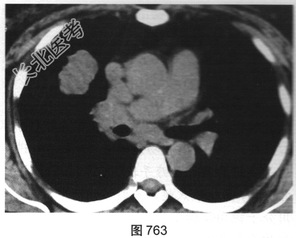
- 多项选择题2.[提示]患者行胸部CT检查,如图762、图763所示。胸部CT如图所示, 超声心动图显示心功能降低,冠状动脉CTA除显示原支架内轻度狭窄外, 未见其他异常。为明确病变性质,下一步应进行哪些检查( )


A、胸腔镜
B、痰真菌培养
C、痰查瘤细胞
D、纤维支气管镜
E、CT引导下经皮穿刺活检
F、结核菌素试验
关注下方微信公众号,搜题查看答案

- 多项选择题3.[提示]CT引导下经皮穿刺活检,显示病变为低分化腺癌。为确定治疗方案, 下一步还应进行哪些检查( )
A、全身骨扫描
B、头部增强MRI
C、胸腰椎X线平片
D、腹部增强CT
E、全身PET-CT
F、活检标本的基因分析
关注下方微信公众号,搜题查看答案

- 多项选择题4.[提示]经过上述各项检查,明确病变未发生淋巴结和脑、肝、肾上腺等重要脏器转移, 无EGFR等基因突变。目前可选择的治疗方法包括( )
A、立体定向放疗
B、高能聚焦超声
C、射频消融治疗
D、经支气管动脉化疗栓塞
E、分子靶向药物治疗
F、外科手术切除
关注下方微信公众号,搜题查看答案

热门试题
- 经皮穿刺椎间盘切除术的最严重并发症是A、
- 介入放射学依据其诊治途径一般分为A、肿瘤
- 关于下腔静脉滤器,下列描述正确的是A、其
- 下列介入操作不使用Seldinger技术
- 肾动脉狭窄,支架置入术中术后常用的抗凝药
- 关于栓塞剂选择依据,下述哪些正确A、栓塞
- 属于血管内介入放射学诊疗技术的是(
- 阴内动脉成形术的适应证包括A、完全性阳痿
- 射频消融的并发症包括A、空腔脏器穿孔B、
- 关于肾动脉狭窄介入治疗,错误的描述是(
- TIPS适应证选择不妥当的是( )A
- 可作为介入放射学导引的是A、X线透视B、
- 非血管介入放射学不包括( )。A、管
- DSA检查中的药品准备一般不包括下列哪项
- 血管内支架植入适应证不包括A、PTA后出
- 关于动脉血栓介入溶栓治疗,描述正确的是A
- 关于细胞周期特异性化疗药物,描述错误的是
- 支气管内支架成形术的远期并发症包括A、暂
- 栓塞后综合征不包括( )A、恶心、呕
- 下列不是下腔静脉滤器植入的适应证的是(