试题详情
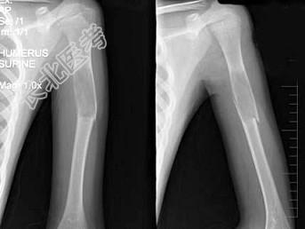
- 单项选择题男,13岁, 因轻微外伤后感左肱骨上部疼痛,软组织肿胀, 摄片见左肱骨上段局限性骨质沿髓腔膨胀性破坏,骨皮质变薄, 部分骨皮质不连续,最可能的诊断是 ( )

A、左肱骨骨折
B、左肱骨骨囊肿伴病理性骨折
C、左肱骨骨纤伴病理性骨折
D、左肱骨巨细胞瘤伴病理性骨折
E、以上均不正确
关注下方微信公众号,搜题查看答案

热门试题
- 急性化脓性骨髓炎对骨质的最大危害是指(
- “原发性骨肿瘤”最好发的部位 (
- 关于急性化脓性骨髓炎,下列不正确的是A、
- 骨髓瘤好发部位为A、颅骨B、脊椎C、肋骨
- 急性化脓性骨髓炎的最大危害是A、骨内外脓
- MRI诊断膝关节交叉韧带撕裂,错误的表述
- 女,28岁, 反复骨骼疼痛,结合图像,
- 女性,51岁。双髋部持续性隐痛1个月余,
- 腰椎CT显示椎间盘超出椎体边缘,后缘凹陷
- 痛风早期最易侵犯的关节为 ( )
- 有关椎间盘变性的叙述,错误的是 (
- 1、最可能的诊断是 ( )2、发
- 关于MRI检查关节半月板撕裂描述中,不正
- 有关牛皮癣性关节炎的叙述中,哪项不正确
- 患者肾衰晚期,多骨的改变是什么引起的结果
- 与椎骨有关的是哪项A、棘突B、翼状突C、
- 骨附属组织发生的肿瘤,指起源于 (
- 下列哪种骨转移的临床症状相对较轻 (
- 以下良性骨肿瘤,不会恶变的是 (
- 动脉瘤样骨囊肿的特征A、边缘无钙化或骨化