试题详情
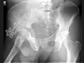
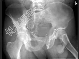
- 单项选择题男,56岁, 右髋部疼痛,5年前被确诊为前列腺癌, 结合图像,最可能的诊断是 ( )




A、骨纤维异常增殖症
B、转移性骨肿瘤
C、畸形性骨炎
D、内生软骨瘤
E、非骨化性纤维瘤
关注下方微信公众号,搜题查看答案

热门试题
- 动脉瘤样骨囊肿的特征A、边缘无钙化或骨化
- 下列"脊柱结核"MRI征象,哪项不对A、
- 男,59岁, 硬膜外麻醉后背痛1周余,结
- 关于骨囊肿的X线表现,下面描述不正确的是
- 男,42岁, 运动员,举重时左胸壁突然疼
- 如图所示,最可能的诊断是 ( )
- 1、关于病变发生的部位,叙述正确的是2、
- 软骨瘤的主要成分是 ( )A、透
- 软骨肉瘤的X线表现包括A、中心型软骨肉瘤
- 甲状旁腺功能亢进的骨骼改变主要表现是
- 脊椎骨折可出现以下哪些表现( )A、
- 骨盆骨折的常见并发症有 ( )
- 纤维性骨皮质缺损的特点包括 (
- 脊索瘤的好发部位是A、骶尾部B、蝶枕联合
- 1、X线平片表现不包括2、观察X线平片后
- 患者,男性,5岁。右膝关节肿胀、疼痛1年
- 下列良性骨肿瘤呈多发性表现的是 (
- 1、患者入院后应首先选择以下哪些影像学检
- 强直性脊柱炎应拍摄( )。A、腰椎前
- 脊柱退行性骨关节病X线表现:①椎间隙狭窄