试题详情
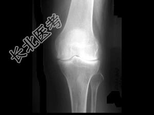
- 单项选择题女,50岁, 手指关节肿痛,晨僵, 结合图像,最可能诊断是 ( )

A、关节结核
B、牛皮癣性关节炎
C、痛风性关节炎
D、类风湿关节炎
E、Reiter综合征
关注下方微信公众号,搜题查看答案

热门试题
- 下述关于多发性骨软骨瘤恶变的征象,不正确
- 椎体骨与椎间盘破坏并存时,最先考虑哪种疾
- 男,23岁, 右股骨下段肿胀、疼痛伴发热
- 下列转移性骨肿瘤特点中,哪项是错的
- 颈1、2椎管前后径不应小于A、11~12
- 化脓性关节炎的X线表现中,下列哪项出现较
- CT示颅前窝中线高密度肿块,4cm×3c
- 男,12岁, 右前臂外伤后入院。结合图像
- 根据所提供图像,最可能的诊断是 (
- 关于"颈干角",下列观点哪项不正确
- 患者50岁,可能性最小的诊断是 (
- 腰椎椎管与椎体比例超过多少为椎管狭窄
- 骨囊肿的X线表现中,哪项应除外A、囊肿一
- 正常髋关节MR行横轴位及冠状位均可清楚显
- 慢性铅中毒的主要临床表现为 (
- 经皮穿刺腰椎间盘溶解术的禁忌证为A、过敏
- 慢性化脓性骨髓炎瘘管经久不愈的原因是
- 女,8岁, 外伤后致右胫骨骨折,如图所示
- 儿童最常见的颈髓肿瘤是 ( )A
- 属于关节退行性变的X线表现有 (