试题详情
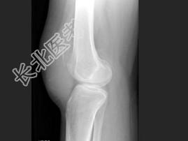
- 单项选择题女,30岁, 膝痛四月余,结合图像, 最可能的诊断是 ( )

A、畸形性骨炎
B、嗜酸肉芽肿
C、成软骨细胞瘤
D、骨囊肿
E、骨巨细胞瘤
关注下方微信公众号,搜题查看答案

热门试题
- 关于移行椎颅侧移位的特点中,下列哪项错误
- 下列疾病可见奥尔布赖特(Albright
- 类风湿关节炎的好发年龄为 ( )
- 正常椎体骨骺的骨化中心出现于( )。
- 严重烧伤引起的骨损伤最主要的X线表现是
- 下述是原发恶性骨肿瘤的X线表现的是A、边
- 以下哪些骨肿瘤常见钙化 ( )
- 脊索瘤的好发部位是A、骶尾部B、蝶枕联合
- 急性化脓性骨髓炎典型X线表现是 (
- 骨盆X线片上,强直性脊柱炎与致密性髂骨炎
- 下列骨折发生后,容易发生缺血性骨坏死的是
- 腰椎椎管与椎体比例超过多少为椎管狭窄
- 腰椎侧隐窝的后界是 ( )A、上
- 确诊多发性骨髓瘤,需下列哪一项检查
- MRI诊断骨创伤,难以显示的是A、皮质骨
- 骨软骨瘤的临床表现( )。A、生长较
- 软骨的构成是:( )A、软骨细胞B、
- 骨样骨瘤瘤巢直径一般不超过A、0.5cm
- 软骨瘤的特点是A、为具有软骨帽的骨性突出
- 下述神经性关节病的X线表现中,哪项不正确