试题详情
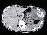
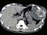
- 单项选择题男,26岁, 感觉左季肋部疼痛,并逐渐加重, 无明显发热,体检左肋部明显肿胀、压痛, 结合所提供的图像,最可能的诊断是 ( )

A、软骨黏液纤维瘤
B、软骨肉瘤
C、骨肉瘤
D、纤维肉瘤
E、骨巨细胞瘤
关注下方微信公众号,搜题查看答案

热门试题
- 关于椎间盘“赤道征”,下列观点哪项正确
- 男,6岁, 尿量明显增多伴眼球突出1年,
- 成人颈椎侧位平片环齿之距离为 (
- 腰椎椎弓峡部骨折,X线摄片清晰显影于A、
- 韩-薛-柯病的最好发于 ( )A
- 以下病变中不出现“泥沙”状死骨的有(
- 骨样骨瘤偶见于 ( )A、胫骨B
- 下列有关“骨血管瘤”的描述,哪项不正确
- 儿童期长骨发育和X线解剖表述错误的是A、
- 腰椎椎管狭窄时,腰椎椎管前后径应小于A、
- “脊柱骨髓瘤”区别于“椎体血管瘤”的特点
- 下列“脊柱结核”平片表现中,不含哪项
- 外伤间接暴力是指 ( )A、外力
- 骨转移瘤最常来自于 ( )A、腺
- 患者,女, 24岁。腰痛2个月余,查体:
- 以下有关痛风临床表现的叙述,错误的是(
- 男,59岁, 右小腿近端疼痛1年,活动障
- 女,8岁, 外伤后致右胫骨骨折,如图所示
- 女性,49岁。骶部隐痛1个月余, 结合影
- 腕骨中最后骨化的是 ( )A、头