试题详情
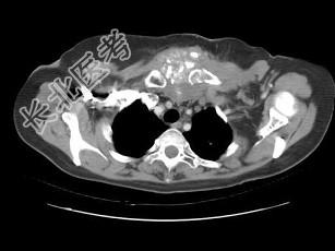
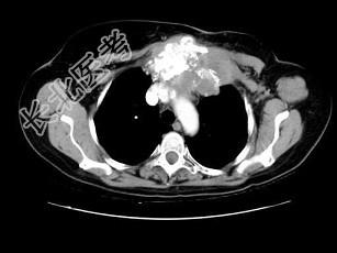
- 单项选择题女,46岁, 胸痛,乳腺癌放、化疗术后, 结合图像,最可能的诊断是 ( )

A、化脓性骨髓炎
B、胸骨坏死
C、成骨性骨转移瘤
D、胸骨结核
E、以上都不正确
关注下方微信公众号,搜题查看答案

热门试题
- 下述关于多发性骨软骨瘤恶变的征象,不正确
- 女,18岁, 左锁骨疼痛、肿胀,无发热,
- 5p综合征最为突出的临床表现为 (
- 小关节面综合征的CT征象应除外 (
- 骨关节疾病的CT检查应该是A、因CT可显
- 有关齿状突骨,不正确的是A、4岁之前与枢
- 6岁,女, 右小腿疼痛,跛行5年, 无明
- 急性化脓性骨髓炎发病10天内X线平片检查
- 1、影像学检查路线宜首选何种检查(
- 正常膝关节透明软骨的厚度约为 (
- 下列关于“恶性骨肿瘤”好发年龄中,哪项是
- 正常肘关节矢状位SE序列T
- 关节结核的描述不包括( )。A、多继
- 类风湿关节炎最常见的起始部位( )。
- 骨样骨瘤由以下哪两部分组成 (
- 腰椎间盘突出症直接CT征象是A、"局限性
- 1、最有可能的诊断是2、以下实验室检查最
- 软骨的构成是:( )A、软骨细胞B、
- 骨化中心出现延迟的疾病是 ( )
- 患者踝痛,如图所示, 最可能诊断为