试题详情
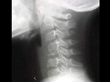
- 单项选择题男,37岁, 颈部疼痛,活动时加重, 休息可减轻,夜间有盗汗, 结合图像,最可能的诊断是 ( )

A、骨巨细胞瘤
B、颈椎骨转移
C、颈椎退行性变
D、颈椎结核
E、骨髓瘤
关注下方微信公众号,搜题查看答案

热门试题
- 下列“先天性马蹄内翻足”骨质改变中,哪项
- 病变常对称性的侵犯四肢关节的疾病是A、关
- 男,29岁, 右肩肿物4年,质地硬, 压
- 椎体缺血坏死可出现以下哪些X线表现
- 男,48岁, 腘窝上方疼痛2年余,呈持续
- 骨折已半年以上骨折断端仍有异常活动称为A
- 最容易损伤椎动脉的骨折部位是 (
- 女,6个月, 身体发育异常,眼巩膜呈蓝色
- 下列疾病常常无骨膜反应的是A、内生软骨瘤
- 强直性脊柱炎MRI诊断,正确的为A、病变
- 男,42岁, 运动员,举重时左胸壁突然疼
- 男,17岁,右腿酸痛、肿胀2个月余。右膝
- 成骨细胞瘤的MRI表现,错误的是A、肿瘤
- “麻风病”骨改变特点为是 ( )
- 关于桡腕关节的描述正确的是 (
- 下述"骨软骨瘤"诊断要点中,哪项不对A、
- 腕部外伤,临床上有腕鼻烟窝部压痛及肿胀应
- 退行性骨关节病中四肢大关节的X线表现是
- 椎体血管瘤MRI表现 ( )A、
- 良性骨肿瘤在X线片上可表现出A、日光射线