试题详情
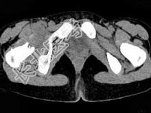
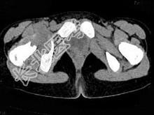
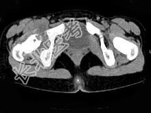
- 单项选择题女,11岁, 肺部有结核病史,二个月前右髋关节有外伤史, 右髋关节部逐渐肿胀疼痛,休息后可减轻, 结合图像,最可能的诊断是 ( )

A、右髋关节结核
B、化脓性关节炎
C、右髋关节退行性变
D、右髋关节类风湿关节炎
E、右髋关节痛风
关注下方微信公众号,搜题查看答案

热门试题
- 致密性骨发育不全与石骨症的X线鉴别中哪项
- 患者,女, 24岁。腰痛2个月余,查体:
- 骨折的并发症和后遗症不包括A、外伤后骨质
- 骨关节结核的主要感染来源是 (
- 男,42岁, 运动员,举重时左胸壁突然疼
- 诊断胫骨平台凹陷骨折时,最佳CT显示图像
- 男,22岁, 右颈部肿块伴疼痛2周,结合
- 患者肾衰晚期,多骨的改变是什么引起的结果
- 男,2岁, 发育迟缓,头颅软, 结合图像
- 下列骨折发生后,容易发生缺血性骨坏死的是
- 股骨头缺血坏死典型的MRI表现为 (
- 关于骨肌系统CT扫描,错误的是A、参考X
- 关于脊椎结核,下列说法不正确的是A、在骨
- 下列“多发性软骨瘤”诊断要点中,哪项错误
- 脊柱类风湿性关节炎最早受侵犯的部位是A、
- 有关齿状突骨,不正确的是A、4岁之前与枢
- 来源于骨髓及造血组织的骨肿瘤是 (
- 化脓性关节炎与结核性关节炎区别点在于前者
- T1WI中等信号,质子密度加权像中等信号
- 骨纤维异常增殖症四肢躯干骨病变的X线表现