试题详情
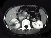
- 多项选择题女,33岁, 右肋腹痛7天,尿检可见大量的脓细胞, CT平扫+增强如图所示,下列说法正确的是 ( )

A、右肾体积增大,其内可见类圆形低密度病灶
B、增强扫描可见该病灶不均匀强化,其内有无强化的坏死灶
C、右肾病灶边界模糊不清
D、考虑为右肾囊肿合并感染
E、考虑为右肾脓肿
关注下方微信公众号,搜题查看答案

热门试题
- 下列哪一项不是卵巢癌腹腔种植的常见部位A
- 患者,女, 40岁。体检发现肾占位,平扫
- 单纯性卵巢囊肿MRI表现A、T
- 绒癌可以转移到各种脏器,最常见的是下列哪
- 对诊断膀胱嗜铬细胞瘤有重要意义的是A、头
- 1、最可能的诊断是( )。A、先天性
- 肾癌MR表现,错误的是A、T
- 下列哪种病变一般不表现为单侧肾影缩小
- Wilm瘤下列说法不正确的是A、儿童最常
- 与肾上腺肿瘤混淆的组织结构及病变是哪些
- 1、最可能的初步诊断为( )。A、子
- 黑色素瘤肾上腺转移的信号特征是A、长T<
- 子宫内膜异位最常见于A、腹膜B、单侧卵巢
- 在立位透视时,节育环正常位置通常在
- 1、你的初步诊断为A、肾癌B、肾盂癌C、
- 肾上腺疾病的影像检查方法包括 (
- 早期宫颈癌的主要症状( )。A、白带
- 输尿管结核患者,静脉肾盂造影的典型表现为
- 1、本例最可能的诊断为2、关于该病CT表
- 精索静脉曲张介入治疗的并发症有 (