试题详情
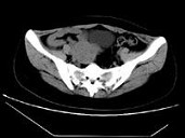
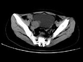
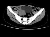
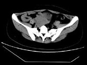
- 单项选择题女,24岁, 近日尿频明显,CT检查如图所示, 最可能的诊断是 ( )

A、膀胱癌
B、子宫肌瘤
C、卵巢癌
D、盆腔纤维瘤
E、卵巢囊肿
关注下方微信公众号,搜题查看答案

热门试题
- 肾细胞癌MRI增强扫描的强化特点是A、延
- 外伤后的患者,根据所提供的图像, 最可能
- 精原细胞瘤可发生于下述哪些部位A、睾丸最
- 女,47岁, 左侧腰部隐痛不适2个月余,
- 男,55岁, 尿频,尿痛伴低热乏力1月。
- 不属于肾动脉的肾外分支的是A、膈下动脉B
- 以下对小儿神经母细胞瘤的描述,正确的为A
- 1、选择影像检查方法前,应先了解哪些临床
- 婴幼儿最常见的肾肿瘤是A、肾细胞癌B、肾
- IVP对肾的先天发育异常无诊断价值的是A
- 肾脏实性占位的诊断,可帮助鉴别良恶性的征
- 关于子宫肌瘤CT表现,不正确的是A、子宫
- 关于肾上腺外嗜铬细胞瘤,不是常见发生部位
- 下列哪项说法与卵巢癌无关 ( )
- 关于肾上腺转移瘤的说法,正确的是A、可为
- 输卵管僵硬、狭窄、扩张或不通最常见的原因
- 关于肾血管平滑肌脂肪瘤,哪些说法是正确的
- 卵巢囊性畸胎瘤的声像图表现,下列不正确的
- 在逆行性尿路造影检查中,可出现哪些肾脏回
- 以下肾肿瘤强化方式为“快进快出”的是A、