试题详情
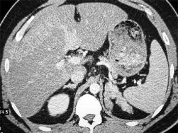
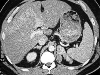
- 单项选择题男性,27岁, 侏儒,因脱水曾在数家医院住过院, 结合所示图像,最可能的诊断是 ( )

A、先天性肾上腺增生肥大
B、库欣综合征
C、肾上腺癌
D、腺瘤状增生肥大
E、嗜铬细胞瘤
关注下方微信公众号,搜题查看答案

热门试题
- 1、根据上述病例,引起血尿症状的病变可能
- 正常前列腺前肌纤维质MRI表现特点正确的
- 肾上腺内分泌肿瘤分类分型诊断主要依靠
- 肾血管平滑肌脂肪瘤与肾癌的鉴别诊断要点应
- 1、该患者的诊断首先考虑为2、当病变进展
- 子宫内膜异位囊性病灶在A、T
- 肾盂癌CT表现,错误的是A、较小的肾盂癌
- 精索静脉曲张可引起下列哪种情况 (
- 当肿块占据肾上腺及肾上极区,下列哪项是判
- 先天性输尿管囊肿最好发部位是A、肾盂输尿
- 经皮肾动脉腔内成形术简称 ( )
- 卵巢畸胎瘤特征性的X线表现有( )。
- 男,68岁, 根据所示图像,最可能的诊断
- 不同CT值范围提示不同成分,下列叙述中错
- IVP对肾的先天发育异常无诊断价值的是A
- 下列腹膜后间隙恶性肿瘤中最常见的是A、淋
- 肾盂癌的Rubenstein分期,错误的
- 根据所提供的图像,最可能的诊断是 (
- 1、最可能的诊断为2、下面的CT表现不正
- 腹主动脉瘤的直径为多少容易发生破裂