试题详情
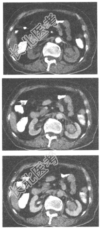
- 单项选择题女,73岁。左侧腰部不适1月余, 加重伴血尿10天。CT表现如图,最可能是哪种疾病

A、肾癌
B、肾盂癌
C、错构瘤
D、肾腺瘤
E、肾结核
关注下方微信公众号,搜题查看答案

热门试题
- 关于子宫肌瘤,下列描述哪项不对A、是最常
- 成人型多囊肾一般不伴有 ( )A
- 患者60岁,血尿, 结合所示图像,结合所
- 关于肾梗死的CT表现,错误的是A、包膜下
- 下列宜进行静脉尿路造影检查的是A、碘过敏
- 下列哪些是尿路梗阻的X线征象A、肾脏增大
- 男,29岁, 反复发作血尿1年余,CT如
- 男,17岁, 根据所示图像,最可能的诊断
- 关于膀胱平滑肌瘤,正确的说法有A、不易出
- 患者,中年男性。无痛性全程血尿半月余,I
- 关于“肾盂积气”,常见于下列哪项疾病
- 以下哪种卵巢区囊性病变属于卵巢囊肿范畴(
- 1、患者有可能患的疾病是2、为明确诊断应
- 肾部分切除术后出现血尿,最可能的诊断是
- 关于子宫内膜异位症,正确的说法是A、多位
- 肾周筋膜及肾周间隙结构的异常改变对下列哪
- 女,35岁, 曾行剖宫产手术,有痛经史5
- 1、根据上述病例,引起血尿症状的病变可能
- 慢性肾盂肾炎的X线表现,正确的是(
- 关于子宫体癌的描述,下列哪项不正确