试题详情
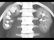
- 单项选择题根据所提供的图像,该患者右肾积水的原因为 ( )

A、肾癌
B、结石梗阻
C、狭窄
D、肾动静脉交叉
E、以上都不是
关注下方微信公众号,搜题查看答案

热门试题
- 1、首先要考虑的疾病是( )。A、子
- 宫颈癌临床分期首选和最佳检查方法是A、X
- 肾囊肿常用的放射诊断方法是 (
- 多数前列腺增生最早出现的症状( )。
- 根据所提供的图像,该病例最可能的诊断为
- 肾结核患者中,静脉肾盂造影最早出现的肾盂
- 典型输尿管结核肾盂造影表现A、输尿管变细
- 患者,女, 28岁。葡萄胎清宫术后4个月
- 肾癌肾静脉尿路造影检查肾小盏的表现有A、
- 患者,女, 52岁。CT和MRI发现盆腔
- 患者,女, 19岁。左下腹疼痛1个月。
- 1、最可能的初步诊断为( )。A、子
- 膀胱癌的起始症状不可能是( )。A、
- 1、关于该病变,首选的检查方法是A、X线
- 前列腺癌侵犯周围脂肪用哪种序列和参数扫描
- 女性,50岁, 腹痛,有肾细胞癌病史,
- 肾上腺腺瘤与肾上腺囊肿的鉴别要点是A、均
- 患者有浸润性胰腺癌,图像中箭头所指的管状
- 根据所提供的图像,该患儿最可能的诊断为
- 肾结核肾内广泛播散的病理学基础是A、血行