试题详情
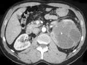
- 单项选择题女,48岁, 左腰部胀痛不适2月余,根据所示图像, 最可能的诊断是 ( )

A、左侧囊性肾癌
B、左侧肾囊肿
C、左侧多囊肾
D、左侧肾脓肿
E、左侧肾积水
关注下方微信公众号,搜题查看答案

热门试题
- 男,56岁, 根据所示图像,最可能的诊断
- 女,28岁, 阴道有异常液体流下,CT和
- 观察前列腺的最佳的MR扫描断面是A、横轴
- 鉴别肾盂旁囊肿和肾盂积水的最佳方法是A、
- 检查输卵管通畅度的首选方法是 (
- 男,55岁, 右腰部不适1年余,CT扫描
- 儿童期最常见的肾肿瘤是A、肾细胞癌B、多
- 下列检查方法常兼有治疗作用的是A、子宫输
- 下列卵巢疾病中,最容易出现腹膜种植转移的
- 膀胱癌X线膀胱造影表现是A、突入腔内的菜
- 患者,男性, 66岁。饮酒后不能自行排尿
- 肾上腺双侧性肿块,可见于A、肾上腺转移瘤
- 在尿路造影中,关于输尿管正确的表现有A、
- 患者,女, 40岁。因为腰痛进行检查,静
- Ⅱ期宫颈癌MRI影像特点为A、膀胱或直肠
- 以下对小儿神经母细胞瘤的描述,正确的为A
- 肾前筋膜与肾后筋膜构成腹膜后腔,其内有以
- 关于异位肾的表现,下列说法错误的是
- 关于肾周异常CT表现,下列哪些征象常见于
- 肾结核患者中,静脉肾盂造影最早出现的肾盂