试题详情
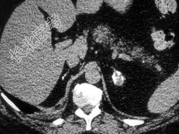
- 单项选择题根据所提供的图像,最可能的诊断是 ( )

A、结核病
B、肾上腺腺瘤
C、肾上腺癌
D、转移癌
E、嗜铬细胞瘤
关注下方微信公众号,搜题查看答案

热门试题
- 肾盂逆流包括 ( )A、肾乳头
- 宫颈癌临床分期首选和最佳检查方法是A、X
- 关于肾上腺皮质醇增生症的描述,正确的是A
- 常见的腹膜后肿瘤包括A、平滑肌肉瘤B、成
- 以下属于气肿性肾盂肾炎CT表现的是A、肾
- 下述肾脏疾病的CT表现中哪项不正确
- CT显示宫颈癌向外侵犯的确切依据是A、宫
- 输尿管结石的并发征象包括( )A、多
- 不属于前列腺癌放疗后并发症的是A、直肠出
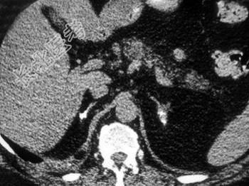
- 结合所示图像,最可能的诊断是 (
- 正常前列腺前肌纤维质MRI表现特点正确的
- 患者,男性,52岁,自述10天前发热,体
- 关于前列腺癌的MRI表现,下列哪项是错误
- 在泌尿系统影像学检查中,尿路造影是常用的
- 肾癌介入术后的并发症是 ( )A
- CT诊断肾血管平滑肌脂肪瘤的关键是
- 女,68岁, 有胆囊癌病史,术后行放射治
- 关于肾周异常CT表现,下列哪些征象常见于
- 鉴别肾盂旁囊肿和肾盂积水的最佳方法是A、
- 关于前列腺正常解剖,下列观点哪项不对A、