试题详情
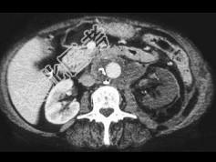
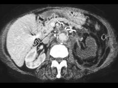
- 单项选择题主动脉瘤修补术后1周,根据所提供的图像, 最可能的诊断是 ( )

A、肾盂肾炎
B、肾梗死
C、肾肿瘤
D、肾小球肾炎
E、以上都不是
关注下方微信公众号,搜题查看答案

热门试题
- 患者,女, 58岁。绝经19年,阴道少量
- 输尿管结核的CT表现是 ( )A
- 尿路造影中常见肾盂、肾盏破坏,其常见于下
- 所有膀胱上皮性肿瘤大部分为恶性,其细胞类
- 在立位透视时,节育环正常位置通常在
- 肾结核患者中,静脉肾盂造影最早出现的肾盂
- 下述“子宫输卵管内膜结核”造影表现,错误
- 关于男尿道的说法正确的有 (
- 有关膀胱癌和结石的鉴别,下列错误的是A、
- 关于子宫体癌的描述,下列哪项不正确
- 女,35岁, 发现血压高,实验室检查:
- 嗜铬细胞瘤可以出现A、5%异位,5%为双
- 泌尿系肿瘤最主要的临床特点是 (
- 关于急性肾盂肾炎的诱发因素,不正确的是(
- 下列肾肿瘤起源于肾小管的是( )。A
- 关于前列腺癌,描述正确的是A、前列腺癌是
- “肾血管平滑肌脂肪瘤”行CT平扫,可以表
- 下列关于子宫输卵管造影禁忌证,哪些正确A
- 突然腹痛伴有血尿3天,来院行CT检查,
- 关于肾梗死的CT表现,错误的是A、包膜下