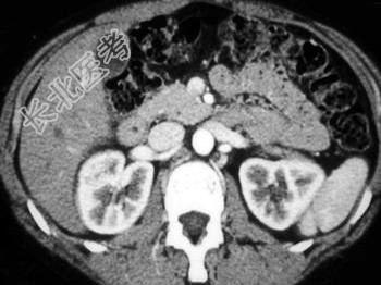
试题详情
- 单项选择题根据图像,该病例最不可能的诊断为 ( )

A、嗜酸细胞瘤
B、单纯性囊肿
C、肾细胞癌
D、转移
E、以上都不是
关注下方微信公众号,搜题查看答案

热门试题
- 输尿管壁内段的长度是 ( )A、
- 女,34岁, 无意中发现血压升高4个月就
- 1、该患者首选的诊断为2、进一步首选检查
- 男,46岁, 无痛性血尿2个月,CT扫描
- 男,65岁, 左腰部隐痛不适2月,CT平
- 某男,尿频尿急2年,尿常规白细胞、红细胞
- 移行细胞癌最好发的部位是A、肾实质B、肾
- 关于“子宫输卵管造影价值”,下列说法错误
- 关于肾上腺皮质癌,正确的是A、50%肿瘤
- 女,35岁, 反复发作的尿路感染,结合图
- 早期宫颈癌的主要症状( )。A、白带
- 结合所示图像,精索内筋膜对应于腹壁的哪一
- 下列关于膀胱憩室的鉴别诊断,错误的是A、
- 下列哪种组织器官不位于肾周间隙 (
- 男,58岁, 无痛性肉眼血尿1月余,结合
- 患者,男性, 66岁。饮酒后不能自行排尿
- 女,58岁。左腰部不适、血尿2月余。CT
- 下列哪些改变属于神经源性膀胱A、脊髓病变
- 在X线平片检查中,能够显示肾脏的哪些异常
- 关于肾上腺转移癌的描述,错误的是A、MR