试题详情
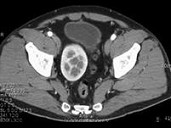
- 单项选择题男,27岁, 根据所示图像,最可能的诊断是 ( )

A、盆腔肾
B、腰段肾
C、胸内肾
D、肾下垂
E、游走肾
关注下方微信公众号,搜题查看答案

热门试题
- 慢性肾盂肾炎的X线表现,正确的是(
- 逆行肾盂造影示自肾小盏中央开始向皮质呈放
- "小膀胱征"多见于A、膀胱息肉B、膀胱结
- 肾脏实性占位的诊断,可帮助鉴别良恶性的征
- 肾移植术后最常用的检查方法是 (
- 男,56岁, 根据所示图像,最可能的诊断
- 最准确的前列腺测量的成像方法为哪种A、膀
- 肾癌介入术后的并发症是 ( )A
- 男,2岁, 触及腹部包块,未及肿大淋巴结
- 关于肾脏疾病,下列哪种说法是正确的A、肾
- 有关肾上腺皮质癌的MRI表现正确的是A、
- 男,59岁, 反复尿频尿急尿痛4年余,尿
- 下列关于肾上腺腺瘤的叙述,哪项不正确A、
- 下述睾丸肿瘤诊断要点,哪项不对A、多为恶
- 下列哪种肿瘤转移时原发灶切除后转移灶可自
- 55岁女性,阴道流血, MRI示子宫内8
- 膀胱炎有哪些类型 ( )A、慢
- IVP示肾盏破坏,则可排除下列哪项
- 关于肾上腺转移瘤,正确的诊断主要依赖于A
- 男,29岁, 因左腹股沟突发肿物3小时入