试题详情
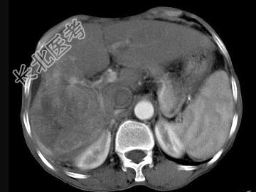
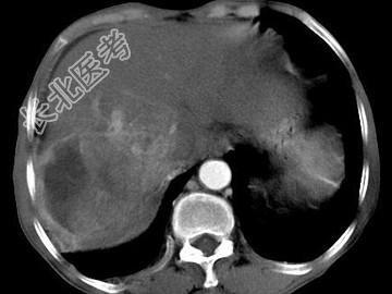
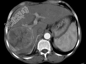
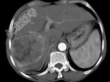
- 单项选择题女,40岁, 有口服避孕药史,肝区疼痛、腹部包块, AFP阴性,CT扫描如图, 最可能的诊断是

A、肝细胞腺瘤
B、肝再生结节
C、结节性肝癌
D、肝右叶巨块型肝癌
E、肝黄色肉芽肿
关注下方微信公众号,搜题查看答案

热门试题
- 下面关于脾梗死的说法,正确的是A、多发生
- 急性腹膜炎可以继发的胸部病变,下列错误的
- 胃癌大体形态可分为 ( )A、浸
- 在慢性胰腺炎的显示中,MRI优于CT的是
- 根据所提供的图像,该病例最可能的诊断为
- 下列有关龛影的说法,不正确的是( )
- 关于FNH,叙述错误的有( )A、M
- 腹部X线摄影时,右膈下见到气体影的有
- 男,70岁, 上腹痛不适伴黄疸1个月余,
- 诊断脾脓肿的可靠的CT表现为 (
- 胆道梗阻最好发的部位是 ( )A
- 根据所提供的图像,最可能的诊断是 (
- 下列有关溃疡性结肠炎的X线钡灌肠表现中,
- 以下不是门静脉瘤栓CT表现的是A、平扫时
- 关于结肠癌的影像表现特点,正确的是A、肠
- 关于胆囊结石的表述,错误的是 (
- 下列关于肝癌CT平扫检查概念错误的是A、
- 40岁男性患者,消化道钡餐示食管壁蠕动减
- 女性,45岁。急性上腹部持续性疼痛, 程
- 消化道出血患者血管造影出现阳性征象时,病