试题详情
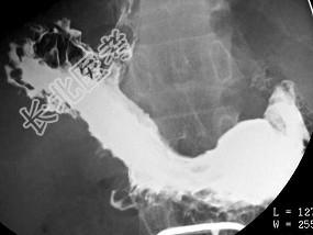
- 单项选择题男,59岁, 进行性吞咽困难半年,结合图像, 最可能的诊断为 ( )

A、正常食管
B、食管静脉曲张
C、食管平滑肌瘤
D、食管癌
E、贲门癌侵及胃底、食管下段
关注下方微信公众号,搜题查看答案

热门试题
- 以下哪一条不是典型肝血管瘤的CT表现A、
- 肝血管平滑肌脂肪瘤的分型包括( )A
- 男性,49岁。进行性消瘦、肝区不适、皮肤
- 男,36岁, 右下腹痛、低热3月钡餐检查
- 引起回盲瓣肥厚的最常见原因是 (
- 关于FNH,叙述错误的有( )A、M
- 胃肠道穿孔最常见的原因是A、腹腔脓肿B、
- 关于先天性巨结肠的描述,错误的是 (
- 关于脾恶性淋巴瘤的CT表现,正确的是A、
- 关于獭尾肝的描述哪些正确 (
- “中晚期胃癌”分型中,不包括哪型 (
- 肝硬化可有以下CT表现A、右叶缩小,尾叶
- 胰头癌低张十二指肠造影的X线征象为A、十
- 35岁男性,自述无不适, 体检US示全肝
- 下列诊断小肠Crohn(克罗恩)病较为特
- 皮革胃是下列哪种类型的胃癌A、溃疡型B、
- 有关Caroli氏病Ⅰ型CT表现,不正确
- 下列关于皮革状胃的X线征象,错误的是
- 根据所提供的图像,最可能的诊断是 (
- 下列哪种药物,不会诱发“Barrett食