试题详情
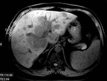
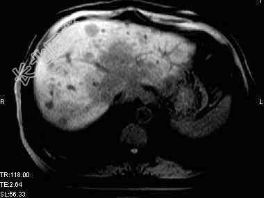
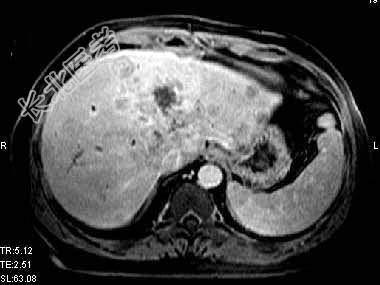
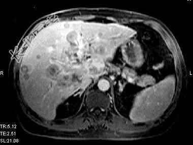
- 单项选择题根据所提供的图像,最可能的诊断是 ( )

A、肝转移癌
B、肝细胞癌
C、肝胆管细胞癌
D、肝血管瘤
E、以上都不是
关注下方微信公众号,搜题查看答案

热门试题
- 经皮经肝胆道外引流术的注意事项中,哪项错
- TIPSS治疗禁忌证,错误的是 (
- Budd-Chiari综合征的CT表现,
- 下列表现与急性胰腺炎无关的是( )。
- 出现膈下游离气体的原因是 ( )
- “消化道恶性肿瘤”,钡餐检查不能显示的是
- “硬化型”食管癌的特征性影像表现是
- 下述哪项不是真菌性肝脓肿的诱发因素
- 15岁男孩,脐周痛6小时。体检示肠鸣音亢
- 下列哪项不能作为食管癌的早期征象 (
- 肝海绵状血管瘤的影像学表现中,包括A、抱
- 下列不属于结肠癌大体病理分类的是(
- 交感神经兴奋时 ( )A、消化道
- 食管癌X线表现为 ( )A、管腔
- 酒精性慢性胰腺炎的特点有 (
- 食管贲门失弛缓症与食管下端癌的鉴别要点是
- 对于直肠癌术前CT检查时,哪种征象提示病
- 下列病变,平扫价值最高的是哪种 (
- 食管静脉曲张X线征象为( )。A、蚯
- 下列酒精性肝病CT特点,哪项不对 (