试题详情
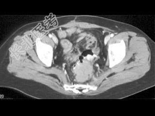
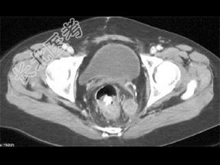
- 单项选择题患者腹痛,便血, 有卵巢癌病史,结合图像, 最可能的诊断是 ( )

A、原发性结肠癌
B、卵巢癌种植转移
C、子宫内膜异位
D、髓外造血
E、以上都不是
关注下方微信公众号,搜题查看答案

热门试题
- 弹簧状的套鞘征见于A、肠扭转B、肠套叠C
- 属于阑尾异位阑尾的位置是A、盲肠内侧B、
- 根据所提供的图像,最可能的诊断是 (
- 胰腺癌淋巴结转移最常见于 ( )
- 关于胆管细胞癌,下列描述哪项不对 (
- 根据所提供的图像,最可能的诊断是 (
- 胆囊癌MRI检查主要的表现为A、淋巴结转
- 克罗恩(Crohn)病好发部位是A、十二
- 正常肝脏MRI表现中,错误的是A、正常肝
- 下列关于Crohn病的CT表现,正确的是
- 慢性胰腺炎MRI表现不包括A、胰腺肿大B
- “良、恶性胃溃疡”共有的征象为 (
- 急性胰腺炎的超声特点是A、胰体弥漫肿大B
- 根据所提供的图像,最可能的诊断是 (
- 早期食管癌X线分期标准是 ( )
- 1、根据以上影像学表现,以下最需要鉴别诊
- 下列哪项不是胃静脉曲张的CT表现 (
- 1、为进一步检查,可行下列哪项检查:2、
- 男,52岁,贲门癌术后3年,肝脏CT增强
- 交感神经兴奋时 ( )A、消化道