试题详情
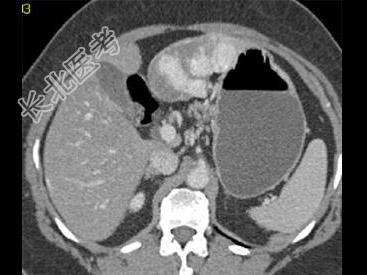
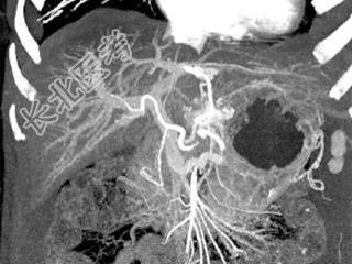
单项选择题根据所提供的图像,最可能的诊断是 ( )

A、肝癌

B、局灶性结节增生

C、血管瘤

D、胆管癌

E、以上都不是

  • 关注下方微信公众号,搜题查看答案

热门试题