试题详情
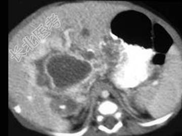
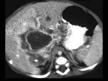
- 单项选择题男,39岁, 进行性消瘦、肝区不适、皮肤巩膜黄染2月,乙肝全套: HbsAg(+),Anti-Hbe(+), Anti-HbcIgG(+),肝功能及AFP均正常, CT检查如图,最可能的诊断是 ( )

A、肝脓肿
B、肝血管内皮瘤
C、肝血管瘤
D、胆管细胞癌
E、肝淋巴管瘤
关注下方微信公众号,搜题查看答案

热门试题
- 结核性腹膜炎的X线表现为A、小肠广泛分布
- 脾内原发囊性病变可见于A、脾错构瘤B、脾
- 胃壁增厚,结合图像, 该病例的鉴别诊断包
- 慢性胰腺炎假囊肿多位于A、胰腺内B、胰头
- 中年患者,AFP升高, 结合图像,最可能
- 食管癌X线表现中哪项是错误的A、食管黏膜
- 关于胆囊腺肌增生症,下列说法不正确的是A
- Freeny的肝血管瘤CT诊断三条标准为
- 下列哪项不是TIPS术后并发症A、肝性脑
- 关于脾恶性淋巴瘤的CT表现,正确的是A、
- 女性,32岁。腹痛, 腹泻便秘交替出现,
- Budd-Chiari综合征的CT表现,
- 女,34岁, 右上腹胀痛不适,肝肋下3c
- 肠结核好发于A、直肠B、回肠C、回盲部D
- 关于腹膜后纤维化的MRI表现进行分析,哪
- 以下哪些是增殖型肠结核的X线表现 (
- 下列肝硬化CT表现错误的是 (
- 胰头癌与壶腹癌的鉴别要点是A、十二指肠区
- 下列关于胃癌的描述,正确的是A、胃癌好发
- 下列肠结核的X线征象中,不正确的是A、盲