试题详情
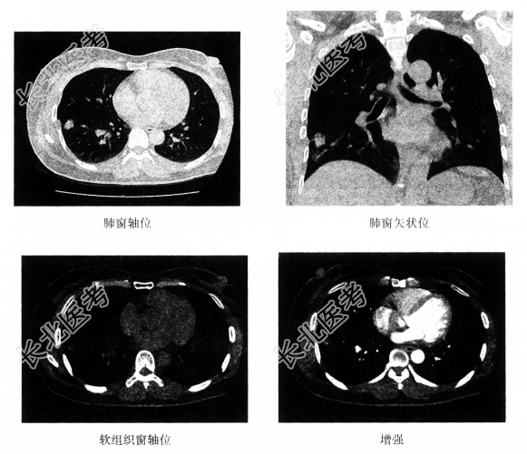
- [材料题] 患者女,50岁,一周前无明显诱因下出现咳嗽,伴咳少许白色黏痰,无胸闷气促、无发热盗汗,听诊无异常发现。胸部CT如下图所示。

- 单项选择题1.该病变的部位是
A、右肺中叶
B、右肺下叶
C、脊柱
D、右侧胸壁
E、肝
F、右上肺
关注下方微信公众号,搜题查看答案

- 单项选择题2.结合病史,该患者最可能的诊断是
A、肺脓肿
B、肺癌
C、炎性假瘤
D、肺结核
E、转移瘤
F、大叶性肺炎
关注下方微信公众号,搜题查看答案

- 单项选择题3.为明确诊断应选择的检查为
A、痰细胞学检查
B、经皮穿刺肺活检
C、放射性核素扫描
D、超声波检查
E、剖胸探查
F、磁共振检查
关注下方微信公众号,搜题查看答案

热门试题
- HIV患者咳嗽咳痰1个月余,伴发热,结合
- 含气支气管像或细支气管像多见于 (
- 结节是指直径小于多少的肺内类圆形病灶(
- 下列肺不张会出现“小肺门征”的是A、左肺
- 观察肋骨骨折的胸片应为A、标准正位胸片B
- 支气管扩张的好发部位为 ( )
- 在下列疾病中MRI检查有较大优势的是A、
- 淋巴结转移的诊断标准是 ( )A
- 胸片上,双肺弥漫粟粒样阴影可见于 (
- 主要分布于中纵隔的肿瘤有A、心包囊肿B、
- 下列疾病中,哪些钙化少见 (
- 关于大叶性肺炎,说法错误的是A、典型的病
- 肺吸虫病引起的肺出血及组织破坏所致的X线
- 胸膜间皮瘤的病理及X线表现中,不正确的是
- 以下可以见到钙化的疾病是A、错构瘤B、淋
- 可能导致气胸的原因是A、胸部手术B、胸部
- 支气管扩张症的CT表现包括A、多发囊状阴
- 诊断纵隔畸胎瘤特征性的CT征象是A、肿块
- 常位于中纵隔的病变是 ( )A、
- 1、首先考虑的诊断是 ( )2、