试题详情
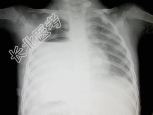
- 单项选择题男,7岁, 外伤后突发呼吸困难伴胸痛,结合图像, 最可能的诊断是 ( )

A、胸腔积液
B、肺大泡
C、气胸
D、液气胸
E、肺脓肿
关注下方微信公众号,搜题查看答案

热门试题
- 男,67岁, 咳嗽、胸痛2月余,痰中带血
- 下列描述中,错误的是 ( )A、
- 下列关于肺转移瘤的说法,错误的是A、胃癌
- 发现和诊断纵隔支气管囊肿最有价值的检查是
- 易出现脓胸或脓气胸的肺炎是 (
- 常位于中纵隔的病变是 ( )A、
- 男,5岁, 高热、畏寒、咳嗽、胸痛1周,
- 1、最可能的诊断是A、肺脓肿B、肺癌C、
- 下列结缔组织病中,哪些可出现胸膜增厚、胸
- 肺栓塞的X线表现有 ( )A、
- 有关胸部淋巴瘤CT扫描的作用,哪项不正确
- 胸部CT增强扫描不用于以下病变的诊断A、
- 正常毛细血管内的静水压为 ( )
- 1、该诊断需高度警惕下列哪种疾病2、进一
- 支气管异物的间接X线征象中包括下列哪项A
- 下列结核可以在出现症状的前2周无X线表现
- 大叶性肺炎可累及( )。A、肺叶的大
- 肺内错构瘤的典型X线征象是A、孤立圆形阴
- 支气管扩张的X线特点不包括A、环状或蜂窝
- 右肺中叶不张的X线表现,正确的是A、正位