试题详情
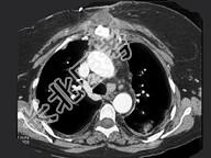
- 单项选择题女,40岁, 高热伴胸痛1周,CT如图, 最可能的诊断是 ( )

A、支气管囊肿
B、淋巴瘤
C、纵隔脓肿伴淋巴结反应性肿大
D、胸腺囊肿
E、恶性畸胎瘤
关注下方微信公众号,搜题查看答案

热门试题
- 胸腺瘤是最常见的纵隔肿瘤之一,下列特征中
- 可引起支气管狭窄及闭塞的是 (
- 1、为了明确病情,应优先选择以下哪些常规
- 下列关于恶性胸膜间皮瘤的说法,正确的是A
- 肺静脉高压征象有( )。A、上肺静脉
- 结核发病与转归过程中,主要涉及的免疫机制
- 关于感染所致的支气管扩张病理改变,错误的
- 下列关于肺转移瘤的描述,正确的是A、血行
- 患者,男,25岁。突起畏寒发热,右胸痛2
- 典型霉菌球的CT表现是 ( )A
- 患者,男, 24岁。低热2周,咳少量痰。
- 男,62岁, 常感胸闷、气逼,X线检查如
- 浸润型肺结核最常见的病理改变是 (
- 下列哪种体位最适宜观察双侧肺尖的病变A、
- 气胸的X线表现包括A、患侧胸壁下方见无肺
- 支气管动脉栓塞治疗大咯血应首选的栓塞剂是
- 关于肺吸虫病,下列描述错误的是 (
- 男,5岁。发热、胸痛、胸闷、气促。X线检
- 肺隔离症在诊断时需与以下哪些疾病鉴别
- 肺部疾病最重要基本的检查方法是A、CTB