试题详情
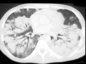
- 单项选择题女,26岁, 全身不适,发热, 咳嗽,咯血, 有吸毒史,结合CT图像, 最可能的诊断是 ( )

A、卡波济肉瘤
B、肺癌
C、肺转移癌
D、肺结节病
E、肺结核
关注下方微信公众号,搜题查看答案

热门试题
- 单枚纵隔或肺门淋巴结测量值属于可疑病变范
- 关于Caplan综合征,下列描述错误的是
- 支气管扩张症的CT表现包括A、多发囊状阴
- HIV患者咳嗽咳痰1个月余,伴发热,结合
- 下列哪项是矽肺X线特征征象A、团块阴影B
- 大叶性肺炎的CT征象不包括A、肺中实质呈
- 该病例为少见病,正确的诊断为 (
- 肺结核病的全身中毒症状有 (
- 干酪性肺炎的典型CT表现A、大叶性实变,
- 关于纵隔肿瘤,下列知识哪项不对 (
- 1、最可能的诊断是( )。A、左下肺
- 关于心包囊肿,描述正确的是A、非先天性疾
- 纵隔肿瘤的MRI特征中哪些正确 (
- 关于弥漫性肺气肿的X线表现,下列描述正确
- 肺栓塞的X线表现有 ( )A、
- 肺隔离症在诊断时需与以下哪些疾病鉴别
- 女,45岁, 颈强直、发热咳痰2周余,结
- 下面肺脓肿的描述中,错误的是 (
- 间质性肺炎较特征的X线表现是( )。
- 下列哪项是诊断肺癌敏感性最高的检查方法