试题详情
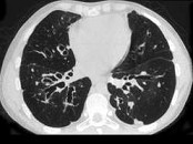
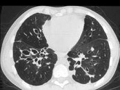
- 单项选择题男,18岁, 咳嗽,咳痰, 咯血半月余,CT检查如图, 最可能的诊断是 ( )

A、过敏性肺炎
B、支气管扩张
C、原发性肺结核
D、大叶性肺炎
E、肺癌
关注下方微信公众号,搜题查看答案

热门试题
- 关于急性肺炎的描述,不正确的是A、发展迅
- 稳定进动快速成像序列要点为 (
- 右肺门角是哪两种结构的夹角A、右中叶静脉
- 与胸片、CT比较,MRI用于肺癌的诊断有
- 在纵隔九分区法中,作为中后纵隔分界的是A
- 结核最常侵犯纵隔的 ( )A、气
- CT诊断纵隔淋巴结增大的标准是( )
- 关于肺结核的X线表现,错误的是 (
- 当血流动力学的变化是左向右分流时,下列哪
- 关于支气管动脉栓塞治疗大咯血的适应证,下
- 有关矽肺的叙述正确的是A、早期可出现间隔
- 下列哪一项不是周围型肺癌的影像学表现A、
- 含气支气管像或细支气管像多见于 (
- 1、你认为最可能的诊断是2、进一步检查首
- 中央型肺癌较常见的组织学类型是 (
- 青少年患者,呼吸短促,最可能的诊断是
- 支气管充气征不见于下列哪种病变 (
- 关于新生儿肺透明膜病的影像表现,下列描述
- 支气管囊肿CT值不正确者的是 (
- 患者男,55岁,呼吸困难,气喘,查体桶状