试题详情
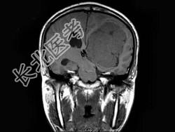
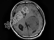
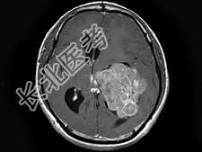
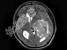
- 单项选择题男,27岁, 一过性黑矇发作半年伴记忆力下降,听觉性失语, 双眼同向性右侧视野缺损,无头痛、呕吐, MRI平扫及增强扫描,最可能的诊断为 ( )

A、侧脑室脑膜瘤
B、侧脑室室管膜瘤
C、侧脑室乳头状瘤
D、侧脑室星形细胞瘤
E、未见异常
关注下方微信公众号,搜题查看答案

热门试题
- 男,59岁, 右眼视力缺陷,结合图像,
- 有助于诊断结节性硬化的CT表现为 (
- 女,38岁, 右眼视力失明2年,左眼视力
- 下列哪项不符合Ⅰ级星形细胞瘤的CT表现A
- 男,49岁, 癫痫发作3次。CT示左额叶
- MRI上,有出血的脑转移癌常提示肿瘤来自
- 某患者,56岁, 眩晕,CT示左侧桥脑小
- 男,60岁,突然剧烈头痛,CT平扫示脑沟
- 交通性脑积水的CT和MRI典型表现有
- 1、正确的诊断是( )。A、蛛网膜下
- 神经纤维瘤MRI信号多表现为 (
- 静脉窦血栓形成的诱因包括A、妊娠B、血管
- 恶性星形细胞瘤的特点包括A、边界不清B、
- 男,42岁, 头痛1个月余,MRI检查如
- 女,42岁, 经常头痛,近两个月出现抽搐
- 男,49岁, CT示颅后窝水样低密度灶,
- 一小儿因一侧眼有黄光反射,做眼眶CT平扫
- 关于脑膜瘤的描述,错误的是A、起源于脑膜
- 多发性硬化最常见部位是A、基底节B、脑干
- 垂体瘤不包括 ( )A、生长激素